
Stomatološka ordinacija
Dr. Lauc
ZUBNI RENDGEN DR. LAUC d.o.o.
Rijeka
Detaljan profilOpća stomatologija
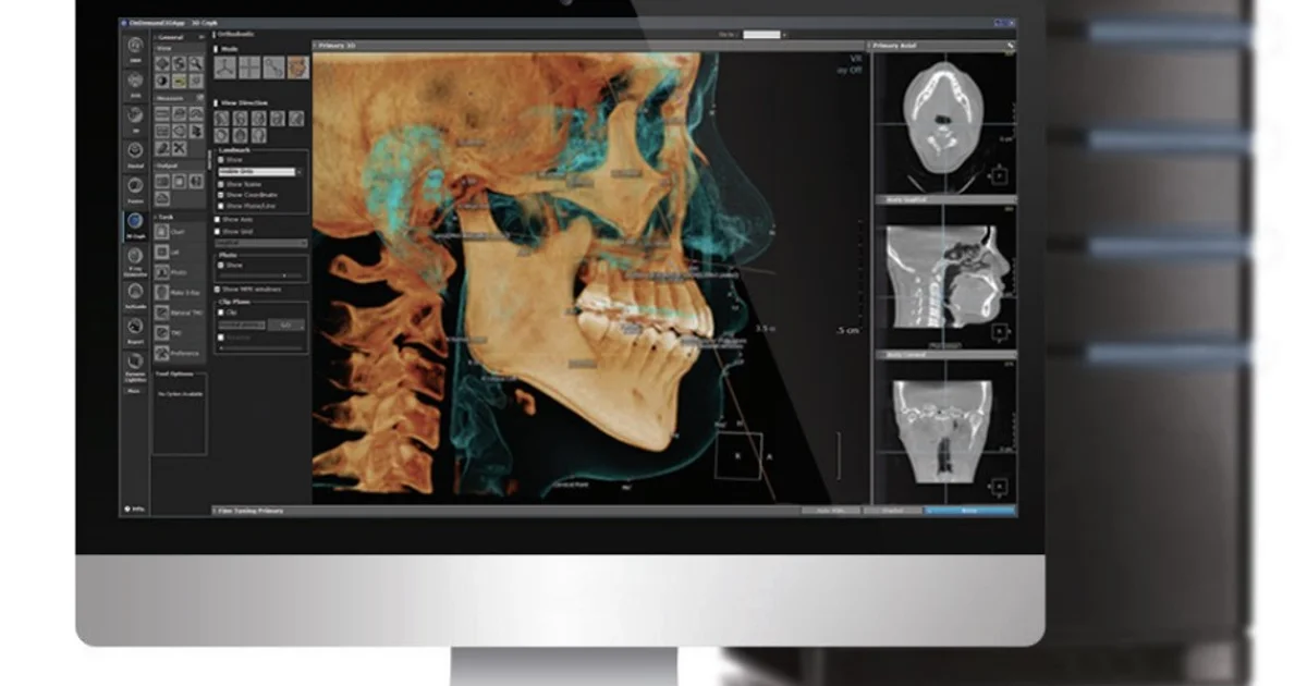
Vodeća smo tvrtka za pružanje usluga zubnog rendgena u regiji s dugogodišnjim iskustvom u dentalnoj radiologiji. Opremljeni smo najsuvremenijom opremom za snimanje zubi koja omogućuje minimalne doze zračenja uz vrhunske dijagnostičke rezultate.
8
Usluge
Kontakt
Radno vrijeme
Pon(danas)08:00 – 20:00
Uto08:00 – 20:00
Sri08:00 – 20:00
Čet08:00 – 20:00
Pet08:00 – 20:00
Sub09:00 – 14:00
NedZatvoreno
Specijalnosti
Usluge i cijene
Ortopan (panoramska snimka)(Panoramska snimka cijele gornje i donje čeljusti s pripadajućim zubima, zglobovima i sinusima)
Intraoralno snimanje(Precizni prikaz pojedinačnih zuba, korijena i susjednih struktura)
Kraniogram (telerendgen)(Snimka glave za ortodontsku dijagnostiku, dostupna u profilnim i frontalnim projekcijama)
Snimanje temporomandibularnih zglobova (TMZ)(Detaljan prikaz čeljusnih zglobova u različitim projekcijama)
CBCT snimanje čeljusti(3D snimanje gornje, donje ili obje čeljusti)
CBCT snimanje pojedinačnih zuba i segmenata čeljusti(Detaljno 3D snimanje pojedinačnih zuba)
CBCT snimanje paranazalnih sinusa(3D prikaz paranazalnih sinusa)
CBCT snimanje temporomandibularnih zglobova(3D prikaz čeljusnih zglobova)
Slične klinike u Rijeci
Ova lokacija je dio veće mreže. Pogledajte i ostale lokacije.