Stomatološka ordinacija
Dental Vidović
Stručnost kojoj vjerujete, osmijeh koji volite.
Kontakt
Usluge
Pregledi i konzultacije
- –Stomatološki prvi pregled i stručne konzultacije
Dijagnostika
- –Funkcijska dijagnostika čeljusti i zagriza(Funkcijska dijagnostika omogućuje otkrivanje nepravilnosti u zagrizu i čeljusnom zglobu, čime postavljamo temelj za trajno uspješne protetske i/ili implantološke zahvate.)
Tretmani i zahvati
- –Apikotomija(Oralna kirurgija obuhvaća kirurške zahvate u usnoj šupljini poput... apikotomije...)
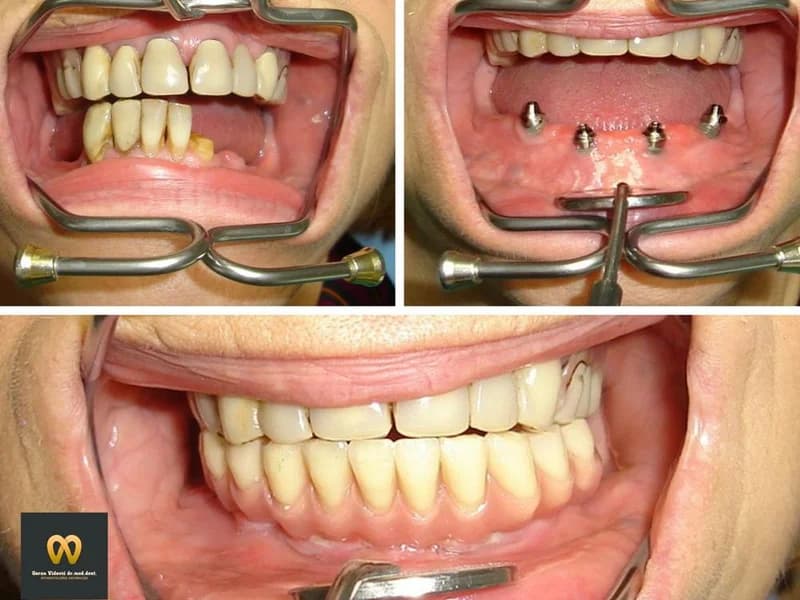
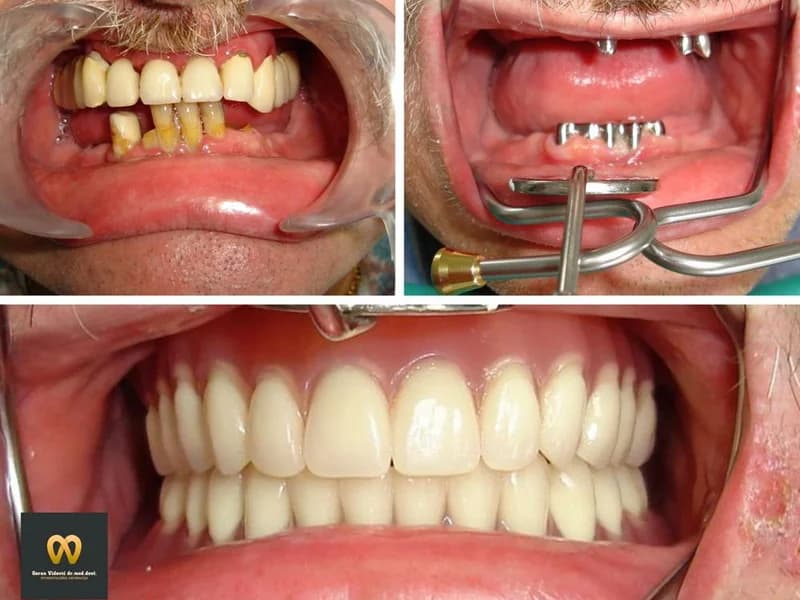
- –Ugradnja implantata(Oralna kirurgija obuhvaća kirurške zahvate u usnoj šupljini poput... ugradnje implantata...)
- –Rekonstrukcija kosti(Oralna kirurgija obuhvaća kirurške zahvate u usnoj šupljini poput... rekonstrukcije kosti...)
- –Liječenje zubi zahvaćenih dubokim karijesom ili upalom(Zahvaljujući suvremenoj endodonciji možemo liječiti zube zahvaćene dubokim karijesom ili upalom, bez potrebe za vađenjem, uz visoku stopu uspješnosti i dugoročnu stabilnost.)
- –Izrada keramičkih krunica(Protetika u stomatologiji obuhvaća izradu keramičkih krunica, mostova i proteza koje nadomještaju izgubljene zube, vraćaju pravilan zagriz, estetiku osmijeha i punu funkcionalnost žvakanja.)
- –Izrada mostova(Protetika u stomatologiji obuhvaća izradu keramičkih krunica, mostova i proteza koje nadomještaju izgubljene zube, vraćaju pravilan zagriz, estetiku osmijeha i punu funkcionalnost žvakanja.)
- –Izrada proteza(Protetika u stomatologiji obuhvaća izradu keramičkih krunica, mostova i proteza koje nadomještaju izgubljene zube, vraćaju pravilan zagriz, estetiku osmijeha i punu funkcionalnost žvakanja.)
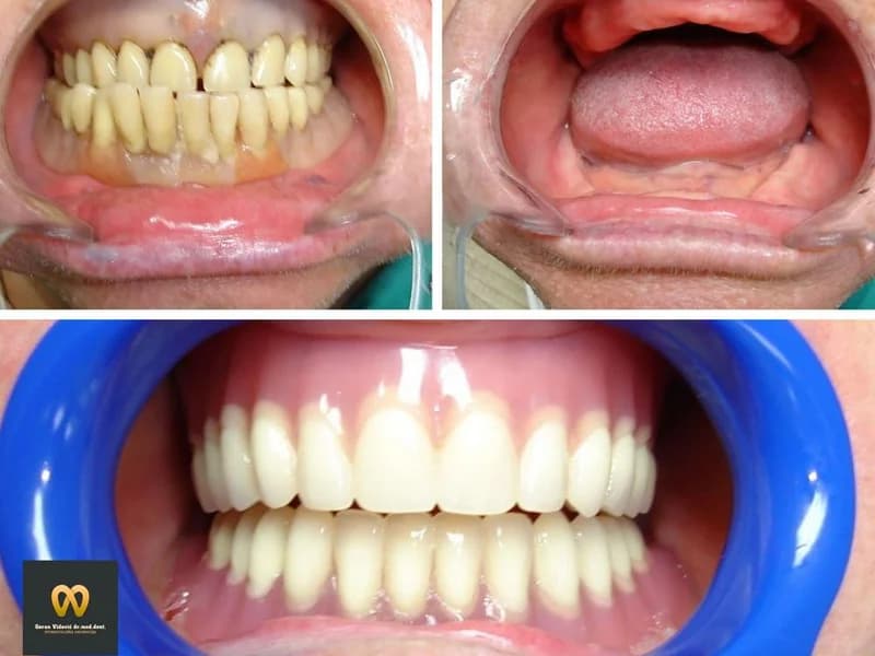
- –All-on-4 zubni implantati(All-on-4 i All-on-6 zubni implantati omogućuju fiksne zube i novi osmijeh unutar 72 sata, bez potrebe za klasičnom protezom)
- –All-on-6 zubni implantati(All-on-4 i All-on-6 zubni implantati omogućuju fiksne zube i novi osmijeh unutar 72 sata, bez potrebe za klasičnom protezom)
- –Zubni implantati(Zubni implantati su trajno rješenje za nadoknadu izgubljenih zubi koje pruža prirodan izgled, stabilnost i funkcionalnost.)
- –Vađenje umnjaka(Oralna kirurgija obuhvaća kirurške zahvate u usnoj šupljini poput vađenja umnjaka...)
Cjenik usluga
Prvi pregled i stručne konzultacije
0 € po posjetu
Sve cijene iskazane su u EUR. Cijene mogu varirati — kontaktirajte kliniku za potvrdu.
Galerija





