
Stomatološka ordinacija
Apex Dental
★ 5.0
Digitalni zubni RTG – precizna dijagnostika uz minimalnu dozu zračenja Digitalni RTG omogućuje prikaz pojedinog zuba ili manjeg područja u vrlo visokoj rezoluciji. U Apex Dentalu koristimo moderne senzore koji daju iznimno jasnu sliku i zahtijevaju minimalnu izloženost zračenju. Prednosti digitalnog RTG-a: odmah gotova slika, minimalno zračenje, jasni detalji korijena i okolne kosti, idealno za endodontske zahvate, karijese i kontrole. APEX DENTAL ZADAR na Obali kneza Trpimira 21a kod Sfinge
Kontakt
Radno vrijeme
Pon13:00 – 20:00
Uto08:00 – 15:00
Sri(danas)08:00 – 15:00
Čet13:00 – 20:00
Pet08:00 – 15:00
SubZatvoreno
NedZatvoreno
Specijalnosti
Usluge
Dijagnostika
- –RVG intraoralna mala snimka(Mala slika zuba, zanemarivo zračenje, otkrivanje karijesa na vrijeme i spašavanje zuba i zubnog živca, minimalni troškovi.)
- –CBCT veliko polje
- –Digitalni zubni RTG(Omogućuje prikaz pojedinog zuba ili manjeg područja u vrlo visokoj rezoluciji. Koriste se moderne senzore koji daju iznimno jasnu sliku i zahtijevaju minimalnu izloženost zračenju. Prednosti: odmah gotova slika, minimalno zračenje, jasni detalji korijena i okolne kosti, idealno za endodontske zahvate, karijese i kontrole.)
- –CBCT snimanje zubi(Najprecizniji oblik dentalnog snimanja koji omogućuje trodimenzionalni prikaz zuba, kosti i okolnih struktura. Koristi se najnovija digitalna CBCT tehnologija s niskom dozom zračenja i iznimnom rezolucijom. Precizan prikaz do 0,01 mm, veliko polje snimanja (do max. 20x17 cm).)
- –Ortopan (panoramska snimka zubi)(Prikazuje sve zube, čeljusti, sinuse i okolne strukture na jednoj slici. Koristi se uređaj Soredex Cranex 3d s minimalnom dozom zračenja. Koristi se za prvi pregled kompletnog stanja zuba, analizu karijesa, upala, cista i kanala, planiranje protetske terapije, kontrolu zubi prije vađenja, sliku za oralnu kirurgiju, kontrolu nicanja kod djece i odraslih.)
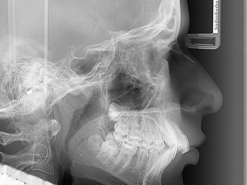
- –Kraniogram L-L ili P-A(Snimka nužna za ortodontsku terapiju. Prikazuje cijelu lubanju i odnos kostiju lica, koristi se za određivanje skeletalne klase i kefalometrijsku analizu.)
- –CBCT malo polje
Paketi
- –Ortopan i Kraniogram komplet (Ortodontski paket)(Najčešće kod djece, prilagođena cijena za komplet, popust za olakšavanje roditeljima. Potrebno za početak terapije, dječiji program-još manje zračenje. Na početku i na kraju terapije.)
Cjenik usluga
ORTOPAN
25 € po posjetu
KRANIOGRAM L-L ili P-A
30 € po posjetu
Ortopan i Kraniogram komplet
35 € paket
RVG intraoralna mala snimka
10 € po posjetu
CBCT veliko polje
70 € po posjetu
CBCT malo polje
40 € po posjetu
Sve cijene iskazane su u EUR. Cijene mogu varirati — kontaktirajte kliniku za potvrdu.
Galerija





